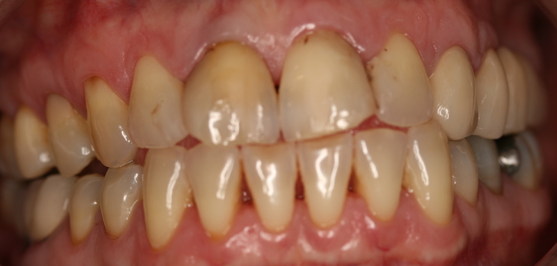
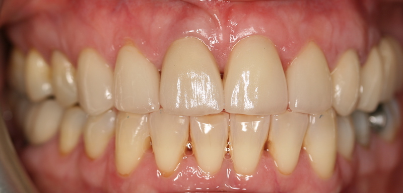
¿Tienes manchas en algún diente o no te gusta la forma o el color que tienen?
Actualmente existen muchos materiales y maneras de modificar la forma y el color dentario e incluso de cerrar espacios de manera mínimamente invasiva y sin anestesia.
En función de cada caso aconsejamos desde un blanqueamiento para manchas localizadas, a carillas de composite, carillas cerámicas a bien coronas o fundas.
¡Si tienes cualquier duda o te apetece darle estética a tu sonrisa no dudes en visitarnos!
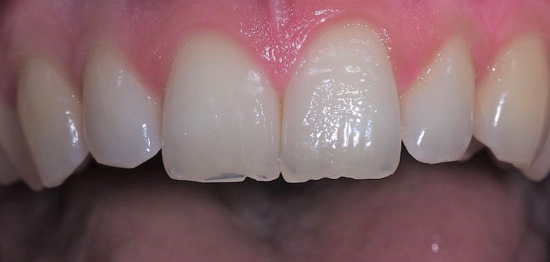
Carillas dentales
Son una solución estética para mejorar la apariencia de los dientes frontales. Básicamente, son láminas muy finas que se adhieren a la parte visible del diente para cambiar su forma, color o tamaño.
Qué problemas corrigen
Se usan sobre todo para dientes manchados o amarillentos, que no responden al blanqueamiento; dientes fracturados o desgastados, espacios entre dientes (diastemas), dientes ligeramente torcidos o desiguales.
Tipos principales
- Carillas de composite: se hacen directamente en la boca, son más económicas, tienen un resultado inmediato, pero son menos duraderas (5 a 7 años, aproximadamente). Tienen la ventaja de poder retocarlas cuando se necesite.
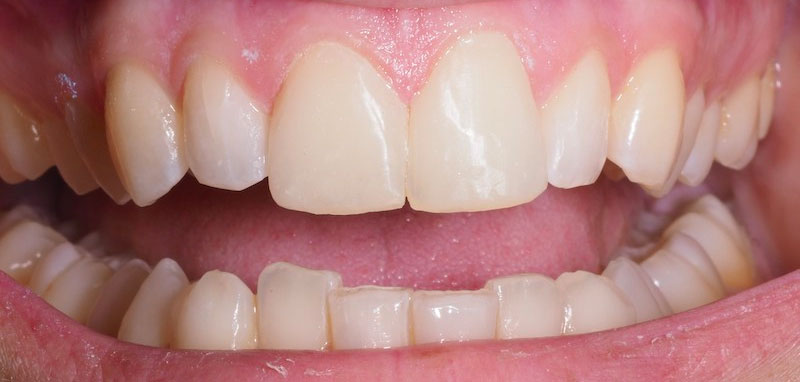
- Carillas de porcelana: se fabrican en laboratorio, son más resistentes y estéticas, no se tiñen con el tiempo, duran de 10 a 15 años o más; habitualmente, hay que tocar el diente, cosa que a veces no es necesario hacer en las de composite.
¿Cómo es el proceso?
- Evaluación y diseño de la sonrisa.
- Preparación del diente; a veces se desgasta una capa muy fina.
- Colocación y adhesión de la carilla.
Ventajas
- Cambio estético muy rápido.
- Resultado muy natural.
- Mejora de la sonrisa y de la confianza social, con todo lo que ello conlleva.
Desventajas
- Si hay desgaste dental, no son reversibles.
- Requieren mantenimiento y controles periódicos.
- Pueden romperse o despegarse.
- No solucionan problemas funcionales como la mordida o un bruxismo severo.
- Si están mal indicadas, pueden verse artificiales.
No se pueden usar:
- En casos de caries activas o enfermedades de las encías.
- Si sufrimos de bruxismo fuerte y este no ha sido tratado.
- Sin control por parte de un especialista.
- Cuando las expectativas son poco realistas: esperamos salir de la consulta con la típica sonrisa perfecta de las redes sociales.
Las carillas pueden ser un resultado espectacular o un desastre claro; todo depende del diagnóstico correcto, de la planificación y de la ejecución del dentista.


Carillas de porcelana





